顎骨良性腫瘍・嚢胞(医療従事者・学生さん向け)
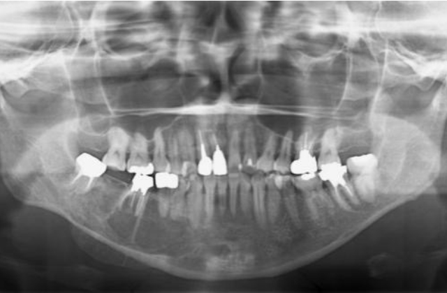
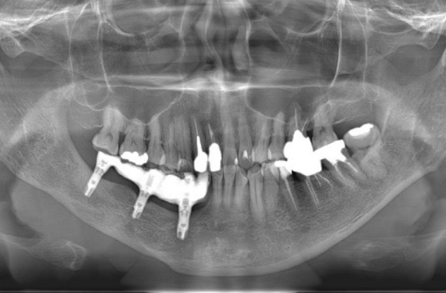
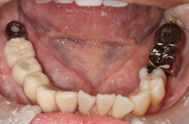
当科では、口腔内や顎骨内に発生する良性腫瘍、嚢胞性疾患に対し手術を行っています。ともに無痛性に緩慢な増大を特徴とするため、発見された際には顎骨の広範囲におよび、歯根吸収や下顎管の圧排を伴っている症例も少なくありません。特に若年者の顎骨腫瘍(嚢胞)の場合、顔貌の変形や下歯槽神経の損傷に配慮し、まず初期治療として開窓を行い、病変の縮小と骨新生を確認後に摘出を行います。ただし、エナメル上皮腫などの再発率の高い病変に対しては、一期的に顎骨切除を行うとともに、腸骨や腓骨を用いた硬組織再建を積極的に行っています。その際は術前にCT撮影を行い、3D画像によるモデルサージェリーを基にオーダーメイドのプレートを作製し、確実かつ迅速な手術を行っております。


